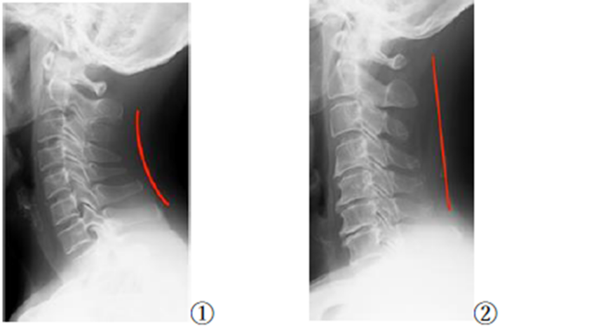
長時間のデスクワークは、首が前に出た姿勢になりやすく、首・肩こりを引き起こす大きな原因となります。
特に新大阪周辺でオフィスワークをされている方は、慢性的な肩こりや首の痛みに悩まれているケースが多く見られます。
当院では、首・肩だけでなく、背骨や骨盤を含めた全身のバランスをチェックし、負担の根本原因にアプローチします。
施術後は、デスクワーク中に意識したい姿勢やセルフケアのアドバイスも行い、再発しにくい体づくりを目指します。 #新大阪 #肩こり #首こり #カイロプラクティック
肩こり治療について新大阪で肩こり治療するなら【新大阪カイロプラクティック院】









